单分子RNA显色原位杂交(smCISH)

技术原理:

单分子RNA显色原位杂交技术(smCISH) 是基于锁式探针(padlock probe)开发而来,锁式探针是一段由两个具靶向结合功能的首尾识别区及非靶向依赖的中间序列组成的线性单链DNA探针,只有当其与靶分子完全互补杂交时,才能被DNA连接酶连接成环,锁式探针也因此被赋予了高度的选择性以及单碱基的分辨能力。


7-1 (1).png


产品特点:

兼容FFPE组织切片、冰冻组织切片和固定细胞爬片

避免低信噪比的问题

操作简单且高效特异

广泛的适用性


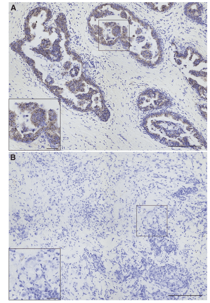
数据展示:


7-2 (1).png